- 4月 8, 2026
間に合ってよかった、17歳の下垂足 L5/S1椎間孔狭窄+ヘルニア
左下肢の痛みはあるが、筋力低下も来しているヘルニアにはあまり神経根ブロックをしません。痛みは「これ以上除圧しないと、麻痺するぞー」という神経のSOSですから、無視し続けてはいけない。診断のため、という事もこういう場合はあんまりありません。痛み領域と筋力、そして画像で大体診断できます。来院時、既に下垂足、つまり足首を十分に曲げられない、かかと歩きのできないスポーツ男子が来られました。

私の診断はL5/S1椎間孔狭窄+ヘルニア。

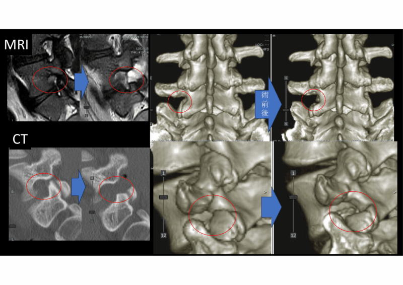
17歳で椎間孔狭窄もないだろう、と思われるかもしれません。しかし、右と比較して左には明らかに椎体からの骨棘がある。神経根は非常に狭い場所に押し込められています。

これに椎間板ヘルニア、とはいっても、有るか無いかの小さなものです。基本は狭窄です。初診で術式、手術日を決定し、19日後に手術となりました。
全身麻酔、正中5㎝左側に小切開。直径8mmの筒の中の手術です。神経にたどり着くには上関節突起という骨を削り取らなければいけません。

骨が取れれば、次は靱帯です。

靱帯の尾側には神経根周囲の脂肪があります。

靱帯を摘出すると、神経とヘルニアは脂肪に覆われていました。

脂肪をとると、神経根と椎間板です。後ろからの圧迫をとったので、椎間板はそれほど神経を押していません。

動画です。
そして術前後の画像です。後方からしっかり除圧して、神経根尾側のヘルニアもしっかりとる、というコンセプト。これなら神経を痛めません。

手間はかかりますが、術後の患者さんは、本当に楽そう。もちろんみんな日帰りです。
「筋力の改善」
術前の左足首は重力に勝てない、つまりつま先立ちもかかと立ちもできない状態。術後1週間で重力に勝てるように、術後2週間でほぼフルに改善しました。さすが若い。下垂足って、なかなか治りません。今回は「間に合った!」という事。
今は復帰に向けて、実は弱いことがわかった体幹筋肉のトレーニングに励んでいます。大胸筋とか腕とか、凄いマッチョなんだが。顧問の先生はしっかりとケアしてくれるだろうか。とても心配ではあります。夏に向けてガンバレ!!